Você escova os dentes três vezes ao dia, usa fio dental religiosamente e ainda assim seu dentista insiste que você precisa fazer limpeza dentária profissional a cada seis meses. Isso pode parecer exagero ou até uma estratégia comercial, mas existe uma explicação científica e anatômica muito clara para essa recomendação. A verdade é que, por mais caprichosa que seja sua higiene bucal em casa, existem áreas da boca que a escova simplesmente não consegue alcançar e substâncias que se formam nos dentes e que não podem ser removidas com escovação.
Entender a diferença entre placa bacteriana e tártaro, conhecer as limitações da higiene caseira e compreender o que realmente acontece durante uma limpeza profissional pode ser o primeiro passo para prevenir problemas graves como gengivite, periodontite e até perda dentária. Neste artigo, vamos esclarecer essas questões de forma direta e prática, mostrando por que a limpeza dentária profissional não é opcional, mas sim essencial para manter sua saúde bucal.
Placa Bacteriana e Tártaro: Qual a Diferença?
Antes de entender por que você precisa de limpeza profissional, é fundamental conhecer os dois principais vilões da saúde bucal: a placa bacteriana e o tártaro.
Placa Bacteriana
A placa bacteriana é uma película pegajosa, transparente ou esbranquiçada, composta por bactérias, restos de alimentos e saliva que se forma constantemente sobre os dentes. Ela começa a se acumular poucas horas após a escovação, principalmente nas regiões próximas à gengiva, entre os dentes e nas superfícies de mastigação.
A boa notícia é que a placa bacteriana pode ser removida com escovação adequada e uso de fio dental. Quando você escova os dentes corretamente, consegue desorganizar e eliminar essa camada antes que ela cause problemas maiores.
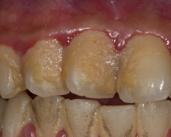
Tártaro (Cálculo Dental)
O tártaro, também chamado de cálculo dental, é a placa bacteriana que não foi removida e sofreu um processo de calcificação. Quando a placa permanece nos dentes por 24 a 72 horas, os minerais presentes na saliva (principalmente cálcio e fósforo) endurecem essa camada, transformando-a em uma substância rígida, áspera e aderida firmemente ao esmalte dentário.
O tártaro pode ter coloração amarelada, marrom ou até esverdeada, dependendo de hábitos como consumo de café, chá, vinho tinto ou tabagismo. O grande problema é que, uma vez formado, o tártaro não pode ser removido com escovação doméstica. Apenas instrumentos profissionais conseguem eliminá-lo.
Além disso, a superfície áspera do tártaro facilita ainda mais o acúmulo de nova placa bacteriana, criando um ambiente propício para inflamações gengivais e doenças periodontais.

Por Que a Escova de Dentes Não é Suficiente?
Mesmo que você seja extremamente cuidadoso com sua higiene bucal, existem limitações anatômicas e práticas que impedem a remoção completa de toda a placa bacteriana apenas com escovação.
Áreas de Difícil Acesso
Algumas regiões da boca são naturalmente mais difíceis de alcançar com a escova:
- A linha da gengiva, onde o dente encontra o tecido gengival
- Os espaços entre os dentes, especialmente em dentes apinhados ou tortos
- A parte interna dos dentes inferiores, próxima à língua
- A superfície dos últimos molares, no fundo da boca
- A região subgengival, ou seja, logo abaixo da linha da gengiva
Mesmo com o uso correto do fio dental e escovas interdentais, pequenas quantidades de placa podem permanecer nessas áreas e se calcificar com o tempo.
Técnica de Escovação Imperfeita
A maioria das pessoas não escova os dentes com a técnica ideal. Escovação muito rápida, pressão inadequada, uso de escovas velhas ou movimentos incorretos fazem com que áreas importantes não sejam limpas adequadamente, permitindo o acúmulo de placa.
Fatores Individuais
Algumas pessoas têm maior tendência à formação de tártaro devido a características individuais como:
- Composição da saliva (maior concentração de minerais)
- pH bucal mais alcalino
- Menor produção de saliva (boca seca)
- Presença de restaurações, coroas ou aparelhos ortodônticos que dificultam a limpeza
Por todos esses motivos, mesmo pessoas com excelente higiene bucal desenvolvem algum grau de acúmulo de tártaro ao longo dos meses, especialmente nas regiões de difícil acesso.
O Que é a Limpeza Dentária Profissional (Destartarização)?
A limpeza dentária profissional, tecnicamente chamada de destartarização ou profilaxia dentária, é um procedimento realizado pelo dentista ou higienista dental para remover completamente a placa bacteriana e o tártaro de todas as superfícies dos dentes, incluindo aquelas abaixo da linha da gengiva.
Como Funciona o Procedimento?
A limpeza profissional geralmente envolve as seguintes etapas:
Remoção do tártaro: O profissional utiliza instrumentos específicos, como curetas manuais ou ultrassom (aparelho que emite vibrações de alta frequência), para quebrar e remover o tártaro aderido aos dentes. O ultrassom é especialmente eficaz e menos desconfortável, pois remove o tártaro com precisão e rapidez.
Polimento: Após a remoção do tártaro, os dentes são polidos com uma pasta abrasiva especial e uma taça de borracha acoplada a um motor de baixa rotação. Esse polimento remove manchas superficiais e deixa a superfície dos dentes lisa, dificultando o acúmulo de nova placa.
Aplicação de flúor: Em muitos casos, é aplicado flúor em gel ou verniz para fortalecer o esmalte dentário e aumentar a proteção contra cáries.
Orientação de higiene: O profissional aproveita para avaliar sua técnica de escovação e uso do fio dental, oferecendo orientações personalizadas.
Destartarização x Profilaxia: É a Mesma Coisa?
Tecnicamente, existe uma pequena diferença entre os termos, embora muitos profissionais os usem como sinônimos:
Destartarização refere-se especificamente à remoção do tártaro (cálculo dental) dos dentes.
Profilaxia é um termo mais amplo que engloba todas as medidas preventivas para manter a saúde bucal, incluindo a destartarização, polimento e aplicação de flúor.
Na prática, quando você agenda uma “limpeza” ou uma “profilaxia”, o procedimento realizado inclui a destartarização e as demais etapas preventivas.
A Limpeza Dentária Dói?
Esta é uma das perguntas mais frequentes e que gera ansiedade em muitas pessoas. A resposta honesta é: depende.
Para a maioria dos pacientes com gengivas saudáveis e acúmulo moderado de tártaro, a limpeza profissional causa no máximo um leve desconforto, especialmente quando o ultrassom trabalha próximo à linha da gengiva ou em áreas mais sensíveis.
No entanto, se você tem gengivas inflamadas (gengivite), periodontite ou não faz limpeza há muito tempo (permitindo grande acúmulo de tártaro, inclusive abaixo da gengiva), pode sentir mais sensibilidade ou desconforto durante o procedimento.
A boa notícia é que, se necessário, o dentista pode aplicar anestesia local para garantir seu conforto total durante a limpeza. Além disso, quanto mais regular for sua frequência de limpezas profissionais, menos tártaro se acumula e mais confortável o procedimento se torna.
Quais São as Consequências de Não Fazer Limpeza Profissional?
Negligenciar a limpeza dentária profissional pode ter consequências progressivas e graves para sua saúde bucal:
Gengivite
O acúmulo de placa e tártaro irrita a gengiva, causando inflamação. Os sinais incluem:
- Gengivas vermelhas e inchadas
- Sangramento ao escovar ou usar fio dental
- Mau hálito persistente
- Sensibilidade gengival
A gengivite é reversível quando tratada adequadamente com limpeza profissional e melhora na higiene doméstica.
Periodontite
Se a gengivite não for tratada, a inflamação pode progredir para os tecidos mais profundos, afetando o osso que sustenta os dentes. A periodontite causa:
- Formação de bolsas periodontais (espaços entre gengiva e dente)
- Retração gengival
- Perda óssea progressiva
- Mobilidade dentária
- Risco de perda dos dentes
A periodontite é irreversível. Uma vez que o osso é perdido, ele não se regenera completamente. O tratamento consegue controlar a doença, mas não recupera totalmente a estrutura perdida.
Consequências Sistêmicas
Estudos científicos demonstram que a periodontite está associada a várias condições sistêmicas graves:
- Doenças cardiovasculares (as bactérias bucais podem entrar na corrente sanguínea)
- Descontrole do diabetes (a inflamação crônica piora o controle glicêmico)
- Complicações na gravidez (parto prematuro e baixo peso ao nascer)
- Doenças respiratórias
Custos Financeiros Elevados
Tratar as consequências de não fazer limpeza regular é muito mais caro do que investir em prevenção. Raspagens periodontais profundas, cirurgias gengivais, tratamentos de canal e até implantes dentários são procedimentos complexos e onerosos que podem ser evitados com limpezas regulares.

Com Que Frequência Devo Fazer Limpeza Dentária?
A recomendação padrão é realizar limpeza profissional a cada seis meses. Esse intervalo é baseado em décadas de estudos que mostram ser o tempo ideal para prevenir o acúmulo excessivo de tártaro e manter a saúde gengival na maioria das pessoas.
No entanto, alguns pacientes podem precisar de intervalos menores, como:
- Pessoas com histórico de doença periodontal: podem precisar de limpezas a cada 3 ou 4 meses
- Fumantes: têm maior tendência ao acúmulo de tártaro e problemas gengivais
- Diabéticos: mais suscetíveis a infecções e inflamações gengivais
- Quem usa aparelho ortodôntico: a higienização é mais difícil e o acúmulo de placa é maior
- Pessoas com maior tendência à formação de tártaro devido a fatores salivares
Seu dentista avaliará suas características individuais e recomendará a frequência ideal para o seu caso.
Como Potencializar os Resultados da Limpeza Profissional?
Para que a limpeza profissional seja realmente efetiva e seus benefícios durem mais tempo, alguns cuidados domésticos são fundamentais:
- Escove os dentes pelo menos duas vezes ao dia, por no mínimo dois minutos cada vez
- Use fio dental diariamente, de preferência antes de dormir
- Considere o uso de escovas interdentais para espaços maiores entre os dentes
- Utilize enxaguante bucal com flúor, se recomendado pelo dentista
- Troque sua escova de dentes a cada três meses ou quando as cerdas estiverem desgastadas
- Reduza o consumo de açúcares e alimentos muito ácidos
- Evite fumar, pois o tabagismo aumenta significativamente o acúmulo de tártaro e doenças gengivais
A Importância da Limpeza Profissional no HOE
No HOE, a limpeza dentária profissional é realizada com tecnologia de ponta e por profissionais altamente qualificados que entendem a importância da prevenção. Utilizamos equipamentos modernos de ultrassom, oferecemos conforto durante todo o procedimento e realizamos uma avaliação completa da sua saúde bucal em cada consulta.
Nossa abordagem preventiva visa não apenas remover o tártaro, mas também identificar precocemente qualquer sinal de problema, orientar adequadamente sobre higiene doméstica e criar um plano personalizado de cuidados para sua boca.
Com estrutura hospitalar completa e atendimento humanizado, o HOE transforma a experiência da limpeza dentária em um momento de cuidado integral com sua saúde.
Nossas unidades em Salvador:
Pituba: Av. Manoel Dias da Silva, 1783
Shopping Paralela: Piso L1, Av. Luís Viana, 8544
Agende sua limpeza:
Telefone: (71) 4102-7244
Horário de atendimento:
Segunda a sexta: 08h às 19h | Sábado: 08h às 13h
A limpeza dentária profissional não é um luxo ou um procedimento supérfluo
Por mais dedicada que seja sua higiene bucal em casa, existem limitações anatômicas que apenas o profissional consegue superar com instrumentos e técnicas adequadas.
Gengivite e periodontite são evitáveis na imensa maioria dos casos, e a limpeza profissional a cada seis meses é a principal ferramenta para essa prevenção.
Não espere sentir dor ou ver sangramento para agendar sua limpeza. A prevenção começa antes dos sintomas aparecerem. Cuide da sua saúde bucal com a mesma seriedade que cuida do resto do seu corpo. Seus dentes agradecem, sua saúde geral agradece e seu bolso também.
